
中国河南郑州一名21岁的女生近日以为是增胖有成,腹部大得堪比怀孕,直到某日感到不适送医,才知道腹部长了巨大卵巢囊肿,重达8公斤,重量堪比怀了三胞胎!
Advertisement

综合陆媒报导,这名女子近日上完厕所后,突然感到腹痛难忍,痛到几乎不能走路,于是报警求助并送往医院救治,到医院后,医生发现女子的腹部很大,宛如怀孕,而她自己却以为是长胖,还自行服用了3个月的减肥药。

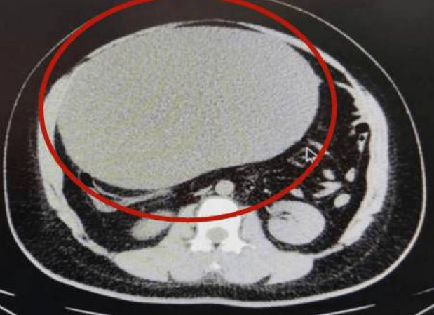
经CT检查显示,这名患者腹部有一个巨大的卵巢囊肿,手术切除后重达8公斤,相当于三胞胎的重量,比一个足球还大。医师还透露,女患者囊肿的囊液取出来,也大概有5000毫升,相当惊人。
这名女子经过治疗后已恢复健康,医生就提醒,一般发胖的情况是会在全身多部位体现,若只是局部出现异常膨隆的情况,建议要赶紧就医检查。