
常听到有人骂人时会说「脑残」,但对这名法国男子来说,这些话听起来却格外讽刺,因为他真的只剩半颗脑袋!
Advertisement
英国《镜报》报导,一名44岁的法国男子,日前因脚伤入院治疗,医生却在检查过程中意外发现,他竟然只剩半边脑袋!而且神奇的是,虽然他只剩下半颗脑,生活却几乎没受到影响。
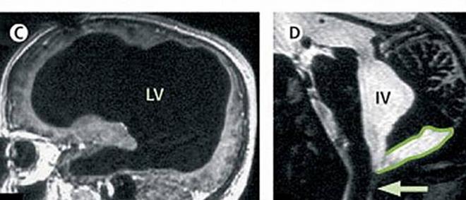
进一步追踪发现,原来这名男子年幼时曾罹患脑积水,医生当时以分流管排除积水,直到14岁才移走,却没料到其实积水的问题并没有根治。这些积水长久以来造成了该男子脑中的物质逐渐被分解,最后竟丧失了50%至75%的脑面积物质。
该案例的研究员里昂内尔(Lionel Feuillet)表示,这名男子的左右脑皆有缩小,这些区域负责控制动作、情感、语言等功能,照理说应该会严重影响他的生活,不过该男却仍能正常过日子。里昂内尔推估,这是因为脑内能自行重组,让大脑其他尚未受损的区域负责原先的工作。