
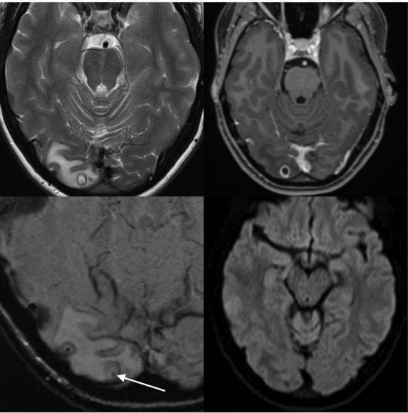
澳洲一名25岁女子经历一个多礼拜的头痛后,去医院接受磁振造影(MRI)检查,原本医生以为是肿瘤造成她头痛的原因,但在手术时惊觉那不是肿瘤,而是「充满绦虫幼虫的肿囊」,成为澳洲感染绦虫的首位病例。
Advertisement
根据《CNN》报导,美国热带医学与卫生杂志(American Society of Tropical Medicine and Hygiene)于9月21日发表论文表示,澳洲以前的这种感染病例大多来自移民或是曾有前往非洲、亚洲或是拉丁美洲等绦虫盛行地区,然而这名女子却从未出国过,因此被认为是该国本土的首例。
而在过去7年中,这名女子每个月发生头痛的症状大约2到3次,然而最近头痛的频率却持续了一个多礼拜,有时还会伴随视线模糊的状况,因此才会就医检查,在医生取出肿囊后,已无需进一步治疗。
据了解,该名女子曾担任过咖啡师,但感染绦虫的风险极低,应该是在不知情的状况下误食含有绦虫的食物。
另外疾病防治中心也提到,绦虫是致命的病,同时也是全世界成人癫痫发作的原因,若食用未煮熟的猪肉或是被绦虫污染的食物,就有感染的风险。