
抽菸、喝酒都不放过,罹患「口腔癌」的机率是常人几十倍!且男性得病率为女性之14.3倍。
Advertisement
根据十大死因数据中,口腔癌位居十大癌症死亡排行榜的第5名,等于每10万人中就有11.6人因口腔癌死亡,而且还有逐渐年轻化的趋势。
目前已知,口腔癌的发生与口腔长期受到刺激、产生细胞变性有密切关系,抽菸、喝酒,是诱发口腔癌的2大危险因子。
早期的口腔癌通常不痛不痒,但口腔组织癌化却可能持续进行。建议平时有抽菸、喝酒习惯的民众,不妨利用每天刷牙的机会,做口腔的自我检查,除了用眼睛观察外也要用手触摸,看看是否有以下症状:
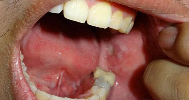
【口腔癌常见症状】:
(1)嘴唇或口腔的黏膜溃疡,超过二周以上未愈合。
(2)口腔内部或周围有肿胀、硬块、脱皮落屑、或是颜色改变。
(3)口腔内或附近发生不明原因麻木感、疼痛或触痛。
(4)口腔内不明原因出血。
(5)口腔黏膜出现白斑或红斑。
(6)颈部有不明原因肿块。
(7)舌头活动度受阻、牙关紧闭,张口困难、吞咽或咀嚼时感到困难或疼痛。